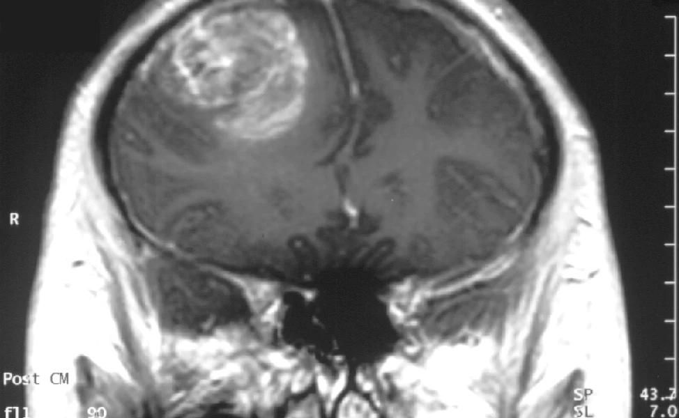
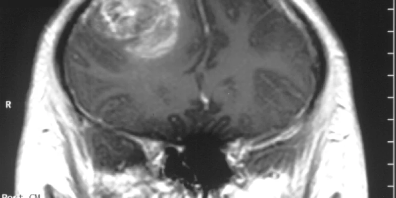
Kanados mokslininkai atrado netikėtą glioblastomos, vienos iš pavojingiausių smegenų vėžio formų, silpnybę. Tyrimo metu nustatyta, kad tam tikros smegenų ląstelės, anksčiau laikytos tik normalios nervų funkcijos palaikytojomis, gali iš tikrųjų padėti navikams augti, siųsdamos signalus, kurie stiprina vėžio ląsteles. Blokuojant šią komunikaciją laboratoriniais modeliais, naviko augimas dramatiškai sulėtėjo.
Tyrimo detalės ir mokslininkų komanda
Tyrimas buvo paskelbtas žurnale „Neuron“ ir atliktas McMaster universiteto bei Sargybinių vaikų ligoninės (SickKids) mokslininkų. Pirmieji autoriai yra Kui Zhai, McMaster universiteto Singh laboratorijos tyrimų asociatas, ir Nick Mikolajewicz, buvęs postdoktorantūros mokslininkas Moffat laboratorijoje SickKids. “Glioblastoma nėra tik vėžio ląstelių masė, tai ekosistema,” sako Sheila Singh, tyrimo bendraautorė ir chirurgijos profesorė McMaster universitete. “Iššifruodami, kaip šios ląstelės bendrauja, radome pažeidžiamumą, kuris gali būti taikomas jau rinkoje esančiam vaistui,” priduria Singh, kuri taip pat yra McMaster universiteto Vėžio tyrimų atradimų centro direktorė.
Oligodendrocitai ir navikų komunikacija
Mokslininkai ilgą laiką žinojo, kad glioblastomos augimui reikalingi tarpusavyje bendraujančių ląstelių tinklai. Šio tyrimo tikslas buvo nustatyti, kurios konkrečios smegenų ląstelės dalyvauja šiame procese. Tyrėjai nustatė, kad oligodendrocitai, kurie paprastai saugo nervų skaidulas, gali pakeisti savo elgesį ir pradėti palaikyti navikų augimą. Šios ląstelės bendrauja su vėžio ląstelėmis per aiškiai apibrėžtą signalizacijos sistemą, kuri sukuria sąlygas, leidžiančias navikui išgyventi ir plėstis. Kai ši signalizacija buvo blokuota laboratoriniuose modeliuose, naviko augimas žymiai sulėtėjo, parodydamas, kiek svarbi yra ši sąveika.
Esamas HIV vaistas suteikia naujų vilčių
Vienas iš šio signalizacijos proceso komponentų yra receptorius, vadinamas CCR5. Šis receptorius jau yra taikinys, siekiant blokuoti HIV, naudojant vaistą Maraviroc. Kadangi šis vaistas jau yra patvirtintas ir plačiai naudojamas, jį būtų galima greičiau pritaikyti glioblastomos gydymui.
“Glioblastomos ląstelių ekosistema yra kur kas dinamiškesnė, nei anksčiau manyta. Atrasta svarbi vėžio biologijos dalis leidžia mums identifikuoti potencialų terapinį taikinį, kurį galima būtų spręsti naudojant jau rinkoje esantį vaistą. Šis atradimas atveria vilties kelią ištirti, ar šio kelio blokavimas gali pagreitinti naujų gydymo galimybių paiešką pacientams,” sako Jason Moffat, tyrimo bendraautorius, vyresnysis mokslininkas ir genetikos ir genomo biologijos programos vadovas SickKids.
Ankstesnių atradimų tęstinumas
Šie atradimai remiasi ankstesniu Sheila Singh ir Jason Moffat darbu, paskelbtų „Nature Medicine“ 2024 metais, kuris parodė, kad vėžio ląstelės gali pasinaudoti keliais, paprastai naudojamais smegenų vystymosi metu, kad išplėstų savo buvimą. Kartu šie tyrimai rodo naują kryptį glioblastomos tyrimuose, orientuotus į komunikacijos sistemų, kuriomis remiasi navikai, sutrikdymą.
Tyrimą remia 2020 m. William Donald Nash smegenų navikų tyrimų stipendija ir Kanados sveikatos tyrimų institutas. Singh yra Kanados tyrimų pirmininkė žmogaus vėžio kamieninių ląstelių biologijoje, o Moffat vadovauja GlaxoSmithKline pirmininko genetikos ir genomo biologijos programai Sargybinių vaikų ligoninėje.


