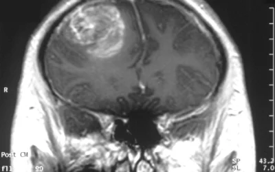
Mokslininkai atrado naują glioblastomos augimą skatinančių smegenų ląstelių tinklą
Kanados mokslininkai atrado netikėtą glioblastomos, vienos iš pavojingiausių smegenų vėžio formų, silpnybę. Tyrimo metu nustatyta, kad tam tikros smegenų ląstelės, anksčiau laikytos tik normalios nervų…